Tubulin is the major constituent of microtubules. It binds two moles of GTP, one at an exchangeable site on the beta chain and one at a non-exchangeable site on the alpha-chain.
Storage Condition and Buffer: 1 mg/ml in PBS, pH 7.4, containing 0.02% sodium azide and 50% glycerol. Store at +4°C short term. Store at -20°C long term. Avoid freeze / thaw cycle.
Application: WB IHC ICC/IF.
Reactivity: H M R Mk Dg Ch Hm Rb Sh
Dilution: WB 1:3000~1:10000 IHC 1:50~1:200 ICC/IF 1:50~1:200 FC.
Purification: Affinity-chromatography.
Specificity: beta Tubulin Mouse Monoclonal Antibody detects endogenous levels of total beta Tubulin.
Immunogen: A synthesized peptide derived from human beta Tubulin.
![]() Western blot analysis of beta Tubulin expression in (1) A431 cell lysate; (2) Rat brain lysate; (3) Mouse kidney lysate; (4) Chicken lung lysate; (5) Hamster spleen lysate with beta Tubulin Mouse Monoclonal Antibody. |
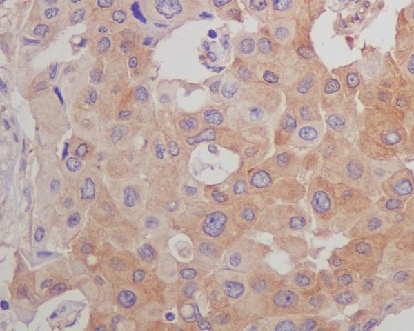
![]() Immunohistochemical analysis of paraffin-embedded human breast carcinoma, using beta Tubulin Mouse Monoclonal Antibody. |
![]() Immunofluorescent analysis of Hela cells, using beta Tubulin mAb. |
- β-Actin Rabbit Polyclonal Antibody
- β-Actin Mouse Monoclonal Antibody
- GAPDH Rabbit Polyclonal Antibody
- GAPDH Mouse Monoclonal Antibody
- β-Tubulin Rabbit Polyclonal Antibody
- β-Tubulin Mouse Monoclonal Antibody
- Myc-Tag Mouse Monoclonal Antibody
- His-Tag Mouse Monoclonal Antibody
- GST-Tag Mouse Monoclonal Antibody
- HA-Tag Mouse Monoclonal Antibody
- GFP-Tag Mouse Monoclonal Antibody
- RFP-Tag Mouse Monoclonal Antibody
- Flag-Tag Mouse Monoclonal Antibody
- V5-Tag Mouse Monoclonal Antibody
- VSV-G-Tag Mouse Monoclonal Antibody



