Our iClick™ EdU Andy Fluor™ 488 Imaging Kit is a superior alternative to the traditional BrdU cell proliferation assay that is optimized for fluorescence microscopy applications. In this assay the modified thymidine analogue EdU is efficiently incorporated into newly synthesized DNA and fluorescently labeled with a bright, photostable Andy Fluor™ dye in a fast, highly-specific click reaction. This fluorescent labeling of proliferating cells is accurate and compatible with antibody methods due to the mild click protocol.
Features
- Simple: Labeling is complete in two steps
- Efficient: No denaturation steps or harsh treatment required
- Content-rich results: Better preservation of cell morphology, antigen structure, and DNA integrity
- Consistent: Not dependent on variable antibody lots for detection
|
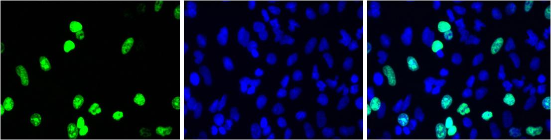
Figure 1. Detection of cell proliferation in cell. A549 cells were treated with 10 μM EdU for 2 hr, then detected with Andy Fluor™ 488 azide (green), cells were counterstained with DAPI (blue).
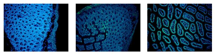
Figure 2. Detection of cell proliferation in mouse tissue. A mouse was injected intraperitoneally with 5 mg EdU per kilogram body weight, then sacrificed at 0, 12, and 24 hr. The mouse intestine tissue was detected with Andy Fluor™ 488 azide (green), and counterstained with DAPI (blue).
| Protocol (PDF): | A003 | |
| MSDS (PDF): |
Component A Component C Component E |
Component B Component D Component F |
| COA (PDF): | COA-A003 |
Cited Reference:
Cell Cycle-Dependent Dynamics of the Golgi-Centrosome Association in Motile Cells
Frye, K.; Renda, F.; Fomicheva, M.; Zhu, X.; Gong, L.; Khodjakov, A.; Kaverina, I.
Cells 2020, 9(5), 1069; https://doi.org/10.3390/cells9051069
Synergistic effect of paclitaxel and verapamil to overcome multi-drug resistance in breast cancer cells
Peng Li, Di Zhong, Pei-yao Gong
Biochemical and Biophysical Research Communications, 2019, 516, 183-188, https://doi.org/10.1016/j.bbrc.2019.05.189
Distinct Neutrophil Populations in the Spleen During PICS
Sengupta S, Caldwell CC and Nomellini V
Front. Immunol. 2020, 11:804. doi: 10.3389/fimmu.2020.00804
Chenodeoxycholic acid suppresses AML progression through promoting lipid peroxidation via ROS/p38 MAPK/DGAT1 pathway and inhibiting M2 macrophage polarization
Jinting Liu, Yihong Wei, Wenbo Jia, Can Can, Ruiqing Wang, Xinyu Yang, Chaoyang Gu, Fabao Liu, Chunyan Ji, Daoxin Ma
Redox Biology, 2022, 56, 102452. https://doi.org/10.1016/j.redox.2022.102452
Deregulation of angiopoietin-like 4 slows ovarian cancer progression through vascular endothelial growth factor receptor 2 phosphorylation
Wu, Y., Gao, J. & Liu, X.
Cancer Cell Int 21, 171 (2021). https://doi.org/10.1186/s12935-021-01865-4
Evaluation of equine xenogeneic mixed lymphocyte reactions using 5-ethynyl-2’-deoxyuridine (EdU)
Kate E. Birdwhistell, David J. Hurley, Bradley Heins, John F. Peroni
Veterinary Immunology and Immunopathology, 2022, 249, 110430, https://doi.org/10.1016/j.vetimm.2022.110430.
Osteochondral Allograft and Xenograft Immunogenicity Decrease Following Ex Vivo Tissue Culture
Kate E. Birdwhistell, Samuel P. Franklin, David J. Hurley, Bradley D. Heins, John F. Peroni
Journal of Cartilage & Joint Preservation, 2023, 100115, https://doi.org/10.1016/j.jcjp.2023.100115.
Production and characterization of avian crypt-villus enteroids and the effect of chemicals
Acharya, M., Arsi, K., Donoghue, A.M. et al.
BMC Vet Res 16, 179 (2020). https://doi.org/10.1186/s12917-020-02397-1
Differential response of macrophages and neutrophils to trypanosome infections in zebrafish: occurrence of foamy macrophages
Sem H. Jacobs, Éva Dóró, Ffion R. Hammond, Mai E. Nguyen-Chi, Georges Lutfalla, Geert F. Wiegertjes, Maria Forlenza
bioRxiv 2020.11.01.363721; doi: https://doi.org/10.1101/2020.11.01.363721
Ablating Lgr5-expressing prostatic stromal cells activates the ERK-mediated mechanosensory signaling and disrupts prostate tissue homeostasis
Xing Wei, Li Zhang, Yiqun Zhang, Cody Cooper, Chris Brewer, Chia-Feng Tsai, Yi-Ting Wang, Micah Glaz, Hunter B. Wessells, Jianwen Que, Mark A. Titus, Vincenzino Cirulli, Adam Glaser, Tao Liu, Nicholas P. Reder, Chad J. Creighton, Li Xin
Cell Reports, 2022, 40, 10, 111313, https://doi.org/10.1016/j.celrep.2022.111313
SR9009 has REV-ERB–independent effects on cell proliferation and metabolism
Pieterjan Dierickx, Matthew J. Emmett, Chunjie Jiang, and Mitchell A. Lazar
PNAS, 2019, 116(25): 12147-12152. https://doi.org/10.1073/pnas.1904226116
Occurrence of foamy macrophages during the innate response of zebrafish to trypanosome infections
Sem H Jacobs, Eva Dóró, Ffion R Hammond, Mai E Nguyen-Chi, Georges Lutfalla, Geert F Wiegertjes, Maria Forlenza
eLife 2021, 10:e64520. https://doi.org/10.7554/eLife.64520
- Cell-ID™ CFSE Cell Proliferation Kit
- Cell-ID™ Violet Cell Proliferation Kit
- iClick™ EdU Andy Fluor™ 488 Imaging Kit
- iClick™ EdU Andy Fluor™ 555 Imaging Kit
- iClick™ EdU Andy Fluor™ 594 Imaging Kit
- iClick™ EdU Andy Fluor™ 647 Imaging Kit
- iClick™ EdU Andy Fluor™ 488 Flow Cytometry Assay Kit
- iClick™ EdU Andy Fluor™ 647 Flow Cytometry Assay Kit
- iClick™ EU Andy Fluor™ 488 Imaging Kit
- iClick™ EU Andy Fluor™ 594 Imaging Kit
- CCK-8
- Cell-Quant™ MTT Cell Proliferation Assay Kit
- Cell-Quant™ AlamarBlue Cell Viability Reagent


